JOURNÉE MONDIALE DE LA THROMBOSE

13 octobre
–
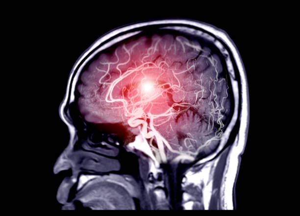
La pandémie de la Covid et son corollaire vaccinal ont remis en lumière une maladie dont on parle habituellement très peu, la thrombose.
Cette maladie, qui se caractérise par la formation d’un caillot de sang, est une affection responsable des trois principales maladies cardiovasculaires mortelles dans le monde : la crise cardiaque, l’ AVC et la thromboembolie veineuse.
La journée mondiale de la thrombose permet d’apporter plus d’informations et de compréhension de cette maladie. Elle est d’origine anglo-saxonne et, pour le moment, n’a pas encore suscité de véritable adhésion dans le monde francophone.
Un site à visiter : www.worldthrombosisday.org
–
–


Commentaires récents